Dr. Thomas Peters
Dr. Thomas Peters
Fraktur des Schneidezahnes nach Sturz/ Schulunfall
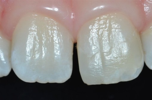
Restauration des Schneidezahnes - 1 Woche post OP

Hier finden Sie uns

Dr. Thomas Peters

Herzogstraße 17

42103 Wuppertal 

Terminvereinbarungen

Rufen Sie einfach an unter der Telefonnummer

0202 / 45 10 02

oder schreiben sie uns ein E-Mail unter

 

drthomaspeters@online.de

 

 

 

Sprechzeiten

Montag, Dienstag und Donnerstag:

  • 9.00 - 12.30 Uhr
  • 14.00 - 17.00 Uhr

 

Mittwoch und Freitag:

  • 9.00 - 12.30 Uhr 
Druckversion | Sitemap
© Dr. Thomas Peters