Dr. Thomas Peters
Dr. Thomas Peters

Zahnarztpraxis Dr. Thomas Peters

 

Unsere Praxis finden Sie im Zentrum von Wuppertal Elberfeld in der Fußgängerzone der Herzogstraße.

 

Wir haben ein integriertes Zahntechniklabor mit zwei Zahntechnikermeistern und fertigen die zahntechnischen Arbeiten vollständig in unserer Praxis ganz individuell für Sie an.

 

Seit 1995 sind wir mit unserer Praxis in der 4. Etage des Ärztehauses (HNO- und Augenärzte).

 

Informieren Sie sich gerne vorab über unseren Service und unsere Leistungen.

 

Unser gesamtes Team freut sich auf Ihren Besuch.

 

Alle abgebildeten Fotos (dig. Wasserzeichen) entstammen unserer Praxis.

 

Ihre Praxis Dr. Thomas Peters

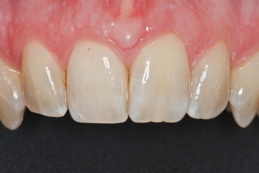
Fraktur beider Schneidezähne in 2014
Behebung durch Schneidekantenaufbau in Dezember 2021
Fraktur des linken Schneidezahnes bei 10 jährigem Kind, vor...
... und nach erfolgter Therapie.
Erhalten Sie Ihre Zähne - so wie es zu Ihnen passt - wir helfen Ihnen dabei.
... einer 28-jährigen....
... einer 33-jährigen...
... eines 46-jährigen...
... oder eines 78-jährigen Patienten.

Hier finden Sie uns

Dr. Thomas Peters

Herzogstraße 17

42103 Wuppertal 

Terminvereinbarungen

Rufen Sie einfach an unter der Telefonnummer

0202 / 45 10 02

oder schreiben sie uns ein E-Mail unter

 

drthomaspeters@online.de

 

 

 

Sprechzeiten

Montag, Dienstag und Donnerstag:

  • 9.00 - 12.30 Uhr
  • 14.00 - 17.00 Uhr

 

Mittwoch und Freitag:

  • 9.00 - 12.30 Uhr 
Druckversion | Sitemap
© Dr. Thomas Peters